心路历程
我做了Laminate牙齿矫正+Laminate牙齿美白+牙齿不齐矫正治疗!

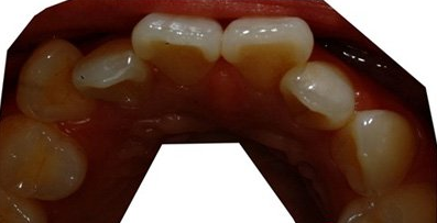
是治疗前的上牙照片。
很不整齐的样子。。。

治疗前的牙齿照片。
手术体验
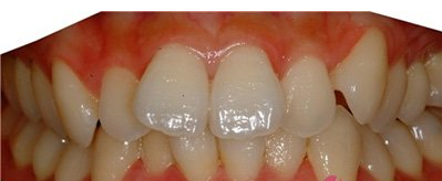
好恶心啊。。。
因为牙齿太不齐了,所以决定做牙齿矫正治疗了。
先做了牙齿不齐矫正治疗,
牙齿不齐矫正治疗后3个月,
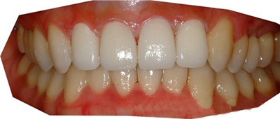
就做了Laminate牙齿矫正和Laminate牙齿美白治疗。

治疗后的照片。
怎么样?变得很整齐了吧~
上牙4个,做了Laminate牙齿矫正治疗~

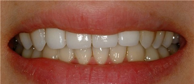
治疗后的照片。
牙齿变得很白喽~看起来很干净的!
现在可以自信的笑啊~哈哈哈



新浪微博
腾讯微博
QQ空间